Pular para o conteúdo
Menu
  • 1 – Qual a opção que descreve melhor o meu sorriso?!
  • 2 – Como o Invisalign funciona?
  • Blog do Dentista

Autor: dr.andrealmeida

Alinhador Invisalign
Blog do Dentista

Como é o aparelho Invisalign?

Os alinhadores Invisalign® são praticamente transparentes.

Blog do Dentista

Manutenção do Invisalign

Entenda como funciona o tratamento, com o aparelho alinhador Invisalign…

Blog do Dentista

Como limpar os dentes? E o aparelho?

Aprenda como limpar os seus dentes! É fundamental que o paciente colabore com o tratamento e cuide dos seus dentes!

Blog do Dentista

Como limpar a minha placa de bruxismo?

Placa de bruxismo

Blog do Dentista

O que é dente de leite, dente decíduo?

Entenda melhor sobre os dentes deciduos, dentes de leite das crianças

Blog do Dentista

O que é apinhamento dentário?

O apinhamento dentário é uma das alterações mais comuns na odontologia e aparece quando os dentes não têm espaço suficiente para se posicionarem corretamente na arcada.

Blog do Dentista

O que é mordida aberta?

Entenda mais sobre a mordida aberta anterior

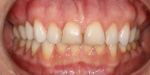
Sorriso com Diastema
Blog do Dentista

O que é o Diastema?

Entenda mais sobre o que é o diastema e como ele pode ser resolvido.

Sorriso após o Invisalign
Blog do Dentista

Como cuidar da gengiva?

Como devo limpar e cuidar da minha gengiva?

Sorriso com a mordida cruzada
Blog do Dentista

O que é a Mordida cruzada?

Entenda como funciona a mordida cruzada

Navegação por posts

Publicações mais antigas
Publicações mais novas

Posts recentes

  • Dúvidas Frequentes sobre o Invisalign
  • Como ver o antes e depois do seu sorriso?
  • Saiba mais sobre o passo a passo do Invisalign
  • Porque o Invisalign?
  • Quando o tratamento com Invisalign acaba?

Comentários

  • Como funciona o Invisalign? – Invisalign em Belo Horizonte em Porque o Invisalign?
  • Como funciona o Invisalign? – Invisalign em Belo Horizonte em Como é produzido o Invisalign?
  • dr.andrealmeida em Como é o aparelho Invisalign?
  • Quais os tratamentos realizados na Prime Odontologia? – Invisalign em Belo Horizonte em Como é o aparelho Invisalign?

Arquivos

  • dezembro 2025
  • novembro 2025
  • julho 2025

Categorias

  • Blog do Dentista

Meta

  • Acessar
  • Feed de posts
  • Feed de comentários
  • WordPress.org
Acompanhe o nosso conteúdo nas redes sociais
Copyright © 2026 Prime Odontologia: Dentista e Invisalign em Belo Horizonte