Como é feito o Invisalign?

O Invisalign proporciona um Tratamento mais rápido, mais confortável, e até 75% mais previsível.

De que forma o Invisalign alinha os dentes?

Ele atua de forma discreta, corrigindo gradualmente a posição dos dentes.

O tratamento consiste na utilização de uma série de alinhadores transparentes removíveis.

O que o Invisalign pode fazer por você?

Os seus alinhadores transparentes são assim criados para corrigir a posição dos seus dentes e consequentemente transformar o seu sorriso.

Alinhador Invisalign.

Quanto tempo leva o tratamento Invisalign?

O Invisalign determina o passo a passo da transformação do seu sorriso e o tempo do seu tratamento pode ocorrer entre 06 meses e 60 meses.

Como funciona o tratamento?

Através do mapeamento digital da Invisalign.

Com o passo a passo do plano de tratamento com Invisalign, a transformação do seu sorriso acontece, cada conjunto de alinhadores irá corrigir gradualmente a posição dos seus dentes

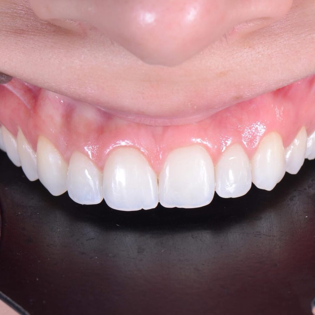
Esses são alguns dos sorrisos transformados em Belo Horizonte, com o tratamento do Invisalign, Entre em contato!